
Ästhetische Zahnmedizin
Manche Menschen haben von Natur aus strahlend schöne Zähne, andere haben kleine Schönheitsfehler an den Zähnen, die sie gern korrigieren lassen möchten.
Hier hilft eine zahnästhetische Behandlung. Mit schonenden und modernen Verfahren werden verfärbte Zähne wieder hell. Durch ästhetische Zahnmedizin können auch kleine Zahnlücken verschwinden und selbst kleine Fehlstellungen lassen sich korrigieren.
Mit dem Team der Zahnarztpraxis von Dr. Irini Elsässer in München Bogenhausen, können Sie in Zukunft strahlend lächeln.

Bleaching
so werden Ihre Zähne weiß
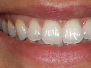
Strahlend weiße Zähne stehen für Schönheit, Jugend, Gesundheit und Vitalität. Verfärbte oder nachgedunkelte Zähne wirken ungepflegt und unattraktiv.
Manchmal hilft schon eine professionelle Zahnreinigung (sorgfältige Reinigung und aufwendige Politur der Zähne), solche Verfärbungen zu beseitigen.
Falls nicht, haben Sie die Möglichkeit, Ihre Zähne in unserer Praxis aufhellen zu lassen. Diese Behandlungsform wird Bleaching genannt.
In unserer Zahnarztpraxis in München Bogenhausen verwenden wir verschiedene Präparate in Gelform, aktiviert durch spezielles Licht. Sie bleichen beim Bleaching die verfärbten Zähne und hellen sie auf, ohne Ihre Zähne dabei zu schädigen.
Vor Selbstversuchen sei gewarnt: Im freien Handel angebotenen Präparate belasten Zahnfleisch und Mundschleimhaut.
In unserer Zahnarztpraxis dagegen wird das Weichgewebe während der Behandlung sorgfältig mit einer Gummimanschette oder mittels Spezialkunststoff abgedeckt. So werden Ihre Zähne auf sichere Art strahlend weiß.

Veneers
hauchdünne Keramikschalen für schönere Frontzähne
Mit Veneers (hauchdünnen Keramikschalen) bewirken wir oft ästhetische Wunder.Unschöne Frontzähne werden angeraut und mit nur ca. 0,5 – 1 mm hauchdünnen Verblendschalen beklebt.
Dieses Veneer - Verfahren erfordert Zeit und Präzision (Lupenbrille).
Die individuell angefertigten Schalen sind aus zahnfarbener Keramik aus dem Dentallabor und sehen deshalb völlig natürlich aus.
Mit Veneers können auch kleine Zahnlücken geschlossen, Schiefstellungen kaschiert, unästhetische Füllungen versteckt und abgebrochene Zähne repariert werden. Wir – das Team der Zahnarztpraxis von Dr. Irini Elsässer in München Bogenhausen sind spezialisiert bei der ästhetischen Behandlung mit Veneers.

Inlays
langlebig, komfortabel und ästhetisch
Bei Gold- und Keramikinlays handelt es sich um individuelle, laborgefertigte Einlagefüllungen.
Die Auswahl des Inlay- Materials, das am besten für die jeweilige Versorgung geeignet ist, richtet sich immer individuell nach dem Zahnschaden, den Wünschen des Patienten und nach dem Zustand des gesamten Gebisses.
Wichtig für die Langlebigkeit der Inlays ist die Qualität der Verarbeitung und die Auswahl eines guten Dentallabors.
Die bestechende Ästhetik der Keramikinlays jedoch fasziniert uns. In punkto Haltbarkeit und Stabilität stehen sie durch unsere hochwertige Verarbeitung den Goldinlays in nichts nach.
In unserer Zahnarztpraxis in München Bogenhausen beraten wir Sie gern umfassend über die zu Ihnen passenden Inlays.

Zahnfarbene Kunststofffüllung
vom eigenen Zahn nicht zu unterscheiden
Kunststofffüllungen können der eigenen, natürlichen Zahnfarbe angepasst werden.
Moderne, hochwertige Kunststoffe mit einem hohen Anteil an Keramikpartikeln werden in unserer Zahnarztpraxis in München Bogenhausen innerhalb einer Sitzung direkt in die Zähne eingebracht.
Diese so genannten Komposit-Füllungen sind langlebig, bioverträglich, von natürlicher Ästhetik und farblich vom eigenen Zahn nicht zu unterscheiden.